<インプラント実例掲載>サージカルガイドを用いてインプラントを埋入した症例
こんにちは、インプラント認定医のホウショです。
今回は60代女性の症例をご紹介いたします。
以前、当院で左下にインプラントを3本埋入され、そちらは経過良好でした。
しかし最近になって、右上の奥歯の歯ぐきが腫れて痛むとのことで来院されました。
レントゲン検査などで診査・診断を行ったところ、歯根破折が確認されました。
患者様のご希望により、今回もインプラント治療を行うこととなりました。
ただし、骨量が少なかったため、骨造成を併用しながら「ソケットリフト」法を用いて、
安全に当日中にインプラント埋入を行いました。
術前写真
術後写真
ソケットリフト法(元々の骨がない場合に、人工骨をたしていき、インプラントを、埋入するテクニック)
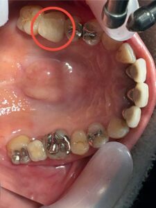
拡大写真
口腔内の写真
骨造成により十分な骨量が確保でき、
インプラントも安定して埋入できました。
術後の経過も良好で、「自分の歯のようにしっかり噛める」と大変満足していただけました。
戸田市のインプラント治療なら、経験豊富な当院にお任せください。
北戸田デンタルクリニック 048-422-9957



















